Imagery Medical 1.3 MOD APK for Android

Imagery Medical
Version 1.3
Date de mise à jour October 26, 2025
Catégorie Sports et soins de santé
Taille 453.8KB
9.1
1
2
3
4
5

9.1

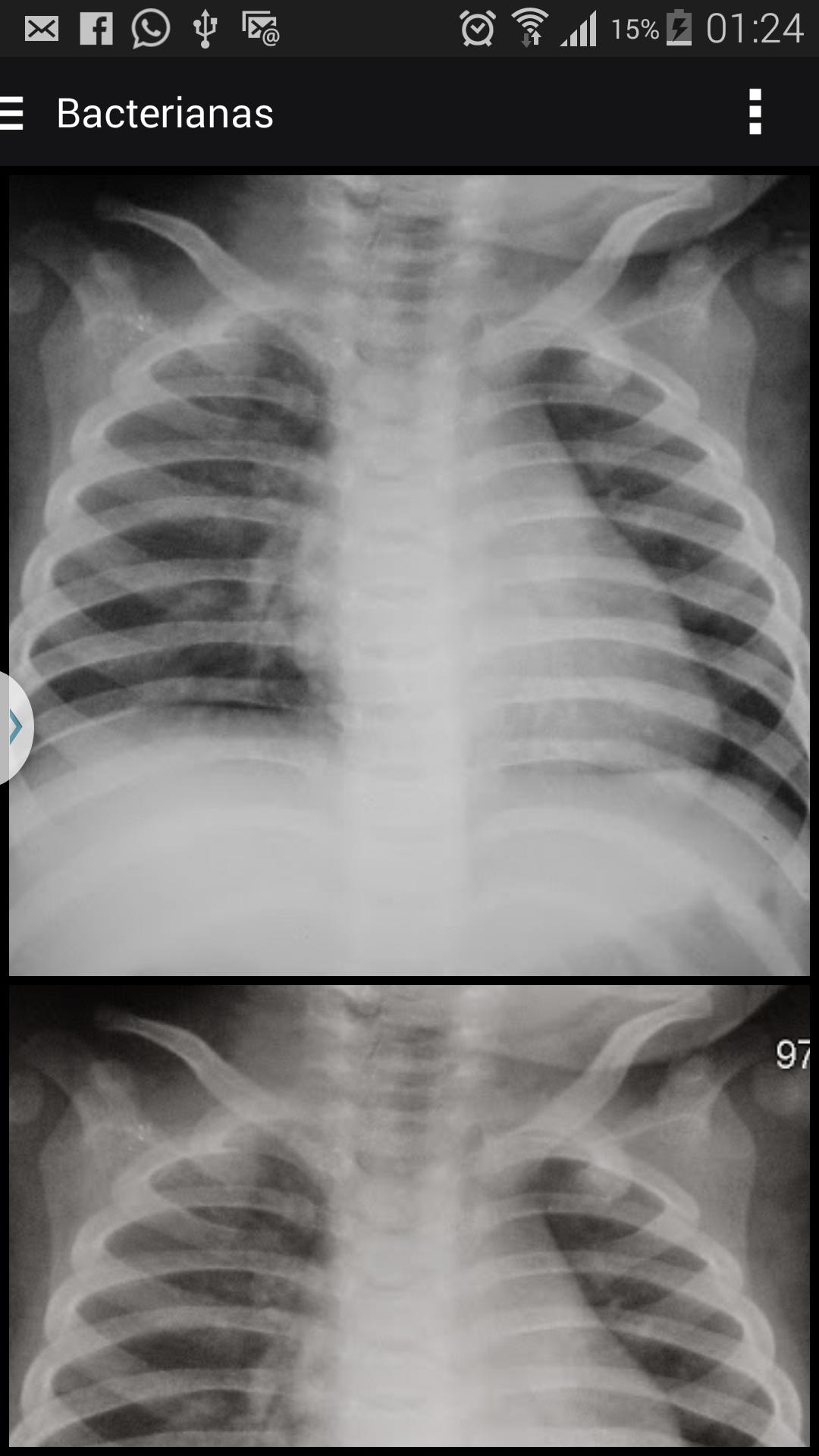
Images aux rayons X pour soutenir le diagnostic de la pneumonie chez les enfants

La pertinence de la pneumonie en tant que cause de mortalité infantile au Brésil est dûment prouvée dans les récents documents du ministère de la Santé. La pneumonie est la cause la plus importante de la mortalité infantile, occupant la deuxième cause de décès des enfants dans les pays en développement, y compris le Brésil.

La rayon de poitrine X est considérée par l'Organisation mondiale de la santé (OMS) comme la meilleure méthode actuellement disponible pour le diagnostic de la pneumonie dans la pratique clinique quotidienne. Les études sur les variations interobservantes sont courantes dans tous les domaines de la médecine, cependant, prédominent dans les études d'image, étant donné que dans ce domaine, la performance de l'observateur représente la partie fragile, contrastant avec l'avancement technologique, obtenu au cours de la dernière décennie.

Les interprétations qui diffèrent d'un "consensus" par un comité d'observateur expérimenté peuvent être appelées "erreur". La variation entre les observateurs se produit lorsqu'il y a une erreur par un observateur, mais comprend également des cas où il y a une différence d'opinion générale sur ce qu'une interprétation correcte représente. Des erreurs et des variations ont été étudiées notamment dans l'interprétation des radiographies.

Pour la détermination de la validité des résultats de toute étude, la précision du test de diagnostic devrait être aussi proche que possible de la réalité, puis la valeur de référence, également appelée «standard

Facteur fondamental de l'or »dans l'évaluation des tests de diagnostic. Dans le cas du diagnostic radiographique de la poitrine, en particulier dans l'enfance, la précision de l'interprétation de l'image est subjectivement évaluée par un accord inter et intraobserving, car il existe rarement un modèle qui peut être utilisé comme référence (standard) dans le diagnostic de pneumonie.

Par conséquent, le panorama actuel de la pneumonie infantile a les caractéristiques suivantes:

(i) La pneumonie est une cause importante de morbidité et de mortalité dans l'enfance;

(ii) Il y a un manque de tests de diagnostic sensibles du point de vue microbiologique;

(iii) Les vaccins infantiles très efficaces (vaccins HIB et antipneumocoque) sont la disponibilité;

(Iv) Il existe un manque de tests de diagnostic précis qui sont simples à exécuter et la mise en œuvre technologique, disponibles dans des domaines en développement qui peuvent être soumis à la normalisation pour permettre des comparaisons entre les études. Les avantages de l'utilisation de la radiographie thoracique dans différents

Les régions du monde dans les études de surveillance de la pneumonie justifient leur faible coût; disponibilité dans la plupart des sites d'étude; viabilité de la comparaison avec d'autres études; Images et stockage faciles à numériser; Possibilité de normalisation des lectures et une faible iatrogénicité de la méthode.

Intelligence artificielle en santé Les applications des systèmes experts utilisant l'intelligence artificielle en médecine (AMI) sont spécialement axées sur

(i) Alertes et rappels;

(ii) Aide au diagnostic;

(iii) la critique thérapeutique;

(iv) les agents de récupération de l'information; et

(v) Reconnaissance et interprétation des images. Parmi les défis actuels pour la mise en œuvre des systèmes AMI figurent le développement de systèmes qui caractérisent avec précision les aspects de la pratique médicale.

Au cours des trois dernières décennies, la vision informatique (VC) est un nouvel outil d'IA. VC basé sur le traitement des images en tenant compte de toutes les connaissances individuelles de l'individu et modélisant ces connaissances sous forme de modèles mathématiques et qui vise à résoudre de nouveaux problèmes basés sur des problèmes précédemment résolus. La caractéristique importante notée est l'évolution technologique qui a comme produit la normalisation des informations provenant de son application dans le renflement de VC.

Quoi de neuf dans la dernière version 1.3

Dernière mise à jour le 15 avril 2016 - Vous pouvez installer l'application sur les anciennes versions Android (API 11)
- Authentification des utilisateurs via la connexion et le mot de passe
- Nouvelles images