7.3
My Film Bag使用戶可以查看,共享和存儲其放射學圖像。
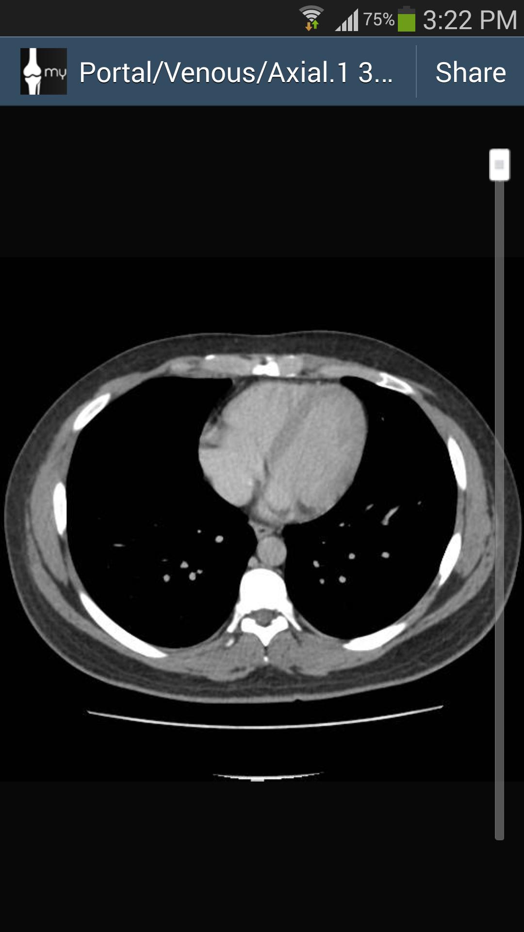
My Film Bag是一個平台,允許用戶查看,共享和存儲其放射學圖像。您可以隨時隨地查看圖像 - 無論您是在計算機上還是外面,您的掃描都可以24/7全天候使用。您可以與參與您的護理的人分享您的圖像 - 無論是自豪地向家人展示您的嬰兒超聲波還是在旅行時進行重要的掃描, My Film Bag可以使您可以立即訪問任何地方,任何地方。您的圖像牢固地存儲在澳大利亞的行業標準數據中心,並在具有互聯網連接的任何地方提供。December 16, 2025
December 16, 2025
December 16, 2025
December 16, 2025
December 16, 2025
December 16, 2025
December 16, 2025
December 16, 2025
December 16, 2025
December 16, 2025
December 15, 2025
December 15, 2025